I am excited. They're coming off. They are finally coming off.
My, my. Time has utterly flown.
Almost.
Before you get more excited than me, the "them" are my upper braces only. Nevertheless, I can't believe this day is scheduled.
This is it. October 4.
Well, half of it. Which I'm not sure why the case is this way, exactly. I think my orthodontist hates me.
I should be utterly excited about this, which I am. But I swear he hates me.
Not in the way you think though. I don't care (too much) that I have to have my bottom braces on for a bit longer. Whatever it takes, doc. What I think though, is that he has an actual issue with me.
The story begins here.
Maybe it's because he's getting sick of me. Maybe he wants to get rid of me ASAP.
Maybe I look too old for his clinic? No. I'm being silly.
Maybe it's because I've made my payment upfront and he's happy he's got his money and can finish up quick-sticks.
Maybe he thinks I'm a rude person. Which I am not.
Maybe he thinks I'm insulting him and his practice, which I also am not.
I don't know what else it could be. Either way, he doesn't seem as friendly, or talkative or explanatory, or the high-five giving merry-maker that I've known him to be in my initial stages and good part of my adjustment visits.
It made me feel horrible.
Maybe he's having problems at home.
Let me start from the beginning. I went in to see him a few days ago, September 13, to be exact (yeah, you say, I usually update on the day, I've been busy, shoot me, full-time work makes you a 'lil tired, go figure).
He didn't say anything back to me after I came in and said "good morning," his assistant did. And the first thing he said to me, after finishing off another patients notes, was "sit back".
Look, maybe he's becoming grumpy. Maybe he's sick of his job. Maybe he was having a bad day.
I don't know what it is, but I've noticed from the past few visits that he's seemed a bit displeased with me, for whatever reason. Maybe he was having bad days whenever I came in. Maybe.
To touch on my teeth, I don't think they're quite ready yet. And this is sort of what I said to him.
To touch on my teeth, I don't think they're quite ready yet. And this is sort of what I said to him.
I had known that he planned on getting the braces off on my next visit, as he mentioned to me. But he also said that he didn't promise it.
I don't feel my teeth are perfect yet, and this is the reason I'm not as happy as I should be that they're set to be coming off.
I feel that the centreline is not completely centred. Namely, that my right front tooth seems too much to the left, almost like it's jammed in.
It might be to do with the filing down of the space between my teeth that he did, and filed too much off on the side? It might also just be my teeth, which I don't care if it is, so be it. It might just be me and my perfectionism, but it's how I feel. It's only that I am so fussed because they are my front two teeth. Kind of a big deal. Just.
He shot down my thoughts, which were in no way communicated rudely, kept telling me that I was seeing things.
Look, I don't know why he was being like that. They are my teeth and I'm paying for him to fix them, align them and make them perfect. I want him to do the the best job possible.
Look, I don't know why he was being like that. They are my teeth and I'm paying for him to fix them, align them and make them perfect. I want him to do the the best job possible.
Am I unable to have an opinion or voice how I am feeling? On top of the fact that he hasn't asked me what I think, and if I like the job that he's done. Isn't there usually a great deal of finesse and perfecting when it comes to orthodontics? Maybe he really is done, I'm hoping on that.
If this is as good as it gets, great. I am in no way unhappy. I have a great smile, my underbite class III malocclusion is gone, and I really am thrilled. This whole situation has taken away from it a little bit, that's all.
I don't want to feel or be left short-changed for whatever reason if there can be improvements made and if these teeth of mine really aren't as perfect as they can be.
I don't know if they are completely perfect. I am no dental alignment expert. I do, however, have eyes and an opinion and a fairly exceptional understanding of what is centred.
I don't want my orthodontist to behave in a way that presents himself as anything other than capable of undertaking an exceptional job in aligning my teeth. Or because he's not bothered, and money hungry. Or whatever the reason seems to be. I don't want to sound brash, but I am paying for a service, and I want that service done and done well. That's what I am paying you for. I haven't been rude in my dealings, so I deserve some courtesy and respect and delivery of my results.
Neither do I want to be in braces for a longer amount of time than I have to deal with, but I wouldn't mind sticking out a few more months if it meant absolutely perfect teeth.
In your professional opinion, if they are perfect, so be it, and so be I wrong.
So, I am in a bit of a pickled, mixed-feeling scenario.
Either way, they are coming off in under a month. I don't think this is open for another 'discussion' with my orthodontist.
He took impressions of the roof of my mouth before I could bring up my concerns. He didn't even ask me if I was happy with my teeth. Which is perhaps why I am most annoyed? He knows I've obviously wanted them off ASAP (who wouldn't), but I want a proper job done, first and foremost.
Maybe my teeth will look different when the braces come off. Maybe, as my orthodontist says, I've become obsessed with my appliances and need to get on with life.
I am probably being an idiot. Anyone looking at this would probably tell me this. But it's me, and my teeth. C'est la vie.
I also don't even know why my lower braces are still staying on. He also hasn't changed the ligatures on the bottom brackets in over two visits. Why?
I don't know how to feel. This is not good.
I am really happy with my teeth though. And I think that's what matters.
If I can't do any thing more about it, I really have done my best to voice my opinion, and if my orthodontist thinks they're perfect, then they're perfect. And that's the doctor's opinion.
I'm looking past all of that for the right now, how good do my teeth and smile look?
Goodness that was a story, if a story is anything to go by. Think of it as a semi-rant, semi-autobiographical excerpt about an orthodontist visit and the afterthoughts of a vain, perfectionist on an ego-trip, willing to tell anybody who will listen.
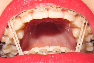
For the first time, here they are, presented in border-blushing colour—my gorgeous mouth space! Hello sunshine!
I love lipstick—not that braces have made me fall in love with it-—but I think they have added another dimension to smiling teeth and sexy lips! I just came back from a night out—shoot me, again—that explains the lipstick and the mad smiling mood I was in.
I have been really busy as of recently, which has prevented me from updating my story, so I decided to just do it now before I get bogged down, again, and delay, if not forgo (no, I'd never!) an update.
It takes time and effort to do this, people. And I'm doing it for you! The people who want and need perfect teeth. Let me inspire you. It's been a beautiful and painful, but oh-so worth it journey so far.
It takes time and effort to do this, people. And I'm doing it for you! The people who want and need perfect teeth. Let me inspire you. It's been a beautiful and painful, but oh-so worth it journey so far.
Millions and millions of photos later, I have a gorgeous mouth.
In the orthodontia arena, in my adjustment visit, he changed my upper, back ligatures and gave me a six-toothed powerchain, as opposed to four-toothed, akin to other visits. I have my suspicions he may have changed it from four- to six-toothed after I complained about my issue, seeing a gap on the side beyond the four teeth, and of course, the centre alignment concern.
He had already put all the new ligatures in my mouth before I raised my concerns. So after my complaint, he then decided to take off all the elastics he just put on, took out the wire and made a small, 0.3mm bend in the front of it, which he'd said would fix the issue I saw, ever so slightly. I'm not sure he even understood my problem.
Further, the orthodontist said that I'd still be wearing the bottom braces after my top ones come off. I'm not sure why, or for now long. He hasn't explained that. And I didn't have the chance to ask. And I'm not one to shy away from questions.
He also mentioned that I will be getting permanent wire retainers placed behind my teeth, on top and bottom, to hold the new teeth positioning.
He had already put all the new ligatures in my mouth before I raised my concerns. So after my complaint, he then decided to take off all the elastics he just put on, took out the wire and made a small, 0.3mm bend in the front of it, which he'd said would fix the issue I saw, ever so slightly. I'm not sure he even understood my problem.
Further, the orthodontist said that I'd still be wearing the bottom braces after my top ones come off. I'm not sure why, or for now long. He hasn't explained that. And I didn't have the chance to ask. And I'm not one to shy away from questions.
He also mentioned that I will be getting permanent wire retainers placed behind my teeth, on top and bottom, to hold the new teeth positioning.
I will also wear a plate after all is said, or rather, done. Which is why he took the impressions, I can only assume. I'm not sure for how long or for what hours of a day, but there will be a plate involved. I'm not sure which type of plate he will issue me with, also. I think it will be a Hawley plate retainer as opposed to the Essix vacuum mouthguard-style type, from the sounds of things, and the research I've done. I don't know too much about the benefits of either. I just hope it doesn't interfere with my everyday. I can tell you I will not be very happy to be lisping again.
Also on the table will be the filing down of my my front teeth (and perhaps others) to even them out due to the wear of my underbite and to even them out a little. I don't want them filed and leveled too much. I like the unique intricacies of the way my teeth look in their natural state. Fingers crossed when we get to that bridge.
And so, I am happy. If that's anything to go by. There is not long to go, and that's something big to look forward to. I can smile a smiling smile and be happy for that.
I would say that this is a 'so long', and 'until next time', for when I will be braces free in the uppers, but we all know, perhaps a bit too well, that I will most likely be back, the night before they come off, with some final, fleeing photos of worse days.
Until then, I sit, and patiently wait, awaiting the day when I will be brace-free, for eternity! Keep smiling, I know I will be starting to practice!
P.S. This was very long, you are an awesome person for getting here. If the length of this is anything to go by, you can understand why I put off writing it in the first place. Reward yourself with an apple.






















